Call me back
Smile gallery




Invisalign


Replacement Bridge


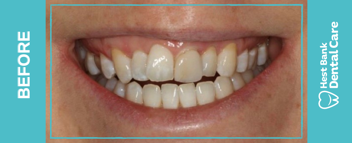
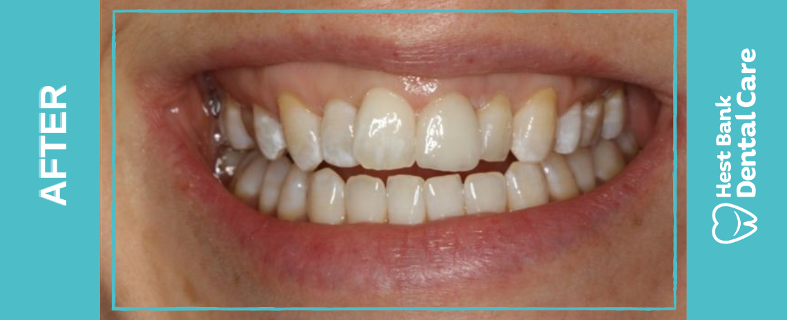
Veneer


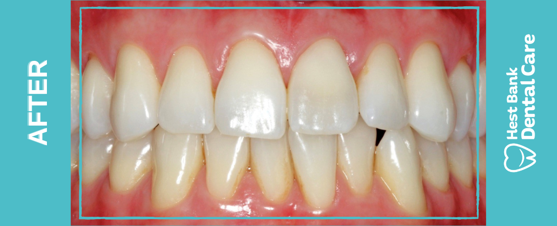
Replacement Veneer


SmileFast


SmileFast


We use necessary cookies to make our site work. We'd also like to set analytics cookies that help us make improvements by measuring how you use the site. These will be set only if you accept.