Call me back

Smile gallery

Filter

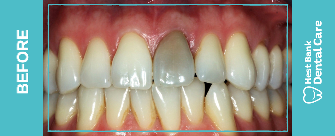
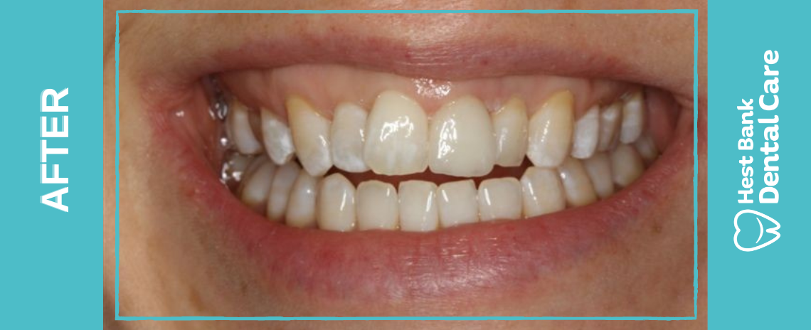
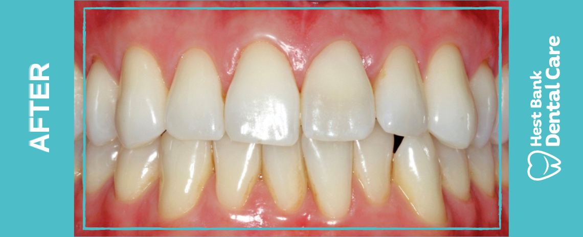
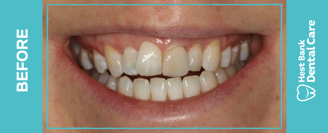
 Crowns | Emax Before  Crowns | Emax After

Crowns | Emax

 Invisalign Before  Invisalign After

Invisalign

 Replacement Bridge Before  Replacement Bridge After

Replacement Bridge

 Veneer Before  Veneer After

Veneer

 Replacement Veneer Before  Replacement Veneer After

Replacement Veneer

 SmileFast Before  SmileFast After

SmileFast

 SmileFast Before  SmileFast After

SmileFast

 White fillings Before  White fillings After

White fillings

There are no stories matching your selection. Please try again.