
Dental Erosion
Posted on January 16
We all know that sugar is bad for our teeth but did you know about… Dental Erosion
What is Dental Erosion and its causes?
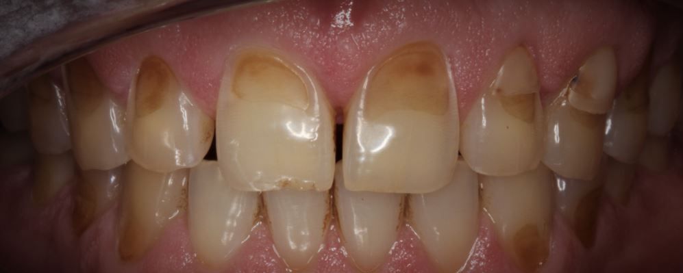
Dental erosion is the loss of tooth enamel usually caused by acidic foods and drinks attacking our teeth however there are also medical conditions such as acid reflux/indigestion and bulimia that can cause dental erosion. When enamel is worn away, the darker dentine underneath is exposed, which can lead to sensitivity and pain which can be unpleasant.
Signs / symptoms of erosion –
- Tooth sensitivity
- Discoloration
- Transparent or sandblasted appearance.
In January it seems to be that everyone is 'getting healthy' which is great! BUT you need to be aware that some of these 'healthy' foods/drinks can be damaging to your teeth as it is not just the sugar but also the acid which is harmful.
Examples of some acidic foods/drinks –
- Tomato products
- Citrus fruits
- Fruit juices
- Smoothies
- Lemon slice water
- Wine
- Fizzy drinks, including diet brands, fizzy water and sports drinks.
What can i do to help?
There is actually alot you can do to help, which means you can still eat and drink these 'healthier' options without the worry just take note of these great tips!
- Cut down on acidic drinks. WATER is the best option for us. If you are having acidic foods and drinks limit them to meal times.
- Use a straw when drinking acidic drinks to minimize contact with teeth.
- Finish a meal with some cheese to help neutralize the acid.
- Chew sugar free gum
- Wait 30 minutes after eating/drinking anything acidic before brushing. Acid leaves the enamel softened and prone to erosion during brushing.
- When brushing use fluoride toothpaste containing 1450ppm fluoride and spit don’t rinse after brushing.
- Visit your dentist every 6 months they will see the signs before you do.
Helen Mcguigan - Oral Health Lead