
Airflow Cosmetic Cleaning
Posted on August 01
Whitening with Guided Biofilm Therapy and Whitening
The Third in our series of Guided Biofilm Therapy is the bit you may like to hear about most because all of us have a slight vain side!
I explained last time how the Airflow technology disrupts the way the bacteria can stick to your teeth. But the by-product of removing the adhesion that occurs through the biofilm layer is that no stains can stick to your teeth either!
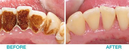
This means that it is the best and safest way to make your teeth appear brighter and whiter. The everyday stains such as tea, coffee and red wine must adhere to your teeth the same way that bacteria do so if that adhesion is broken the stain is removed as well.
The gentle cleaning power of the specifically developed powders allows long term stains already present on your teeth can be removed without any damage or scratching of the tooth surface minimise future recurrence and sensitivity.
It is brilliant when used in conjunction with whitening therapies working much more effectively as the whitening solution can contact the tooth on a microscopic level. But there is also a symbiotic relationship that the whitening solutions that we use reduce the number of bacteria that are present in your mouth automatically improving your gum and tooth health.
We offer a full Cosmetic clean using the Guided Biofilm therapy and Airflow technology for £155.00. If you choose to have this treatment in combination a course of whitening to achieve the maximum possible results, we will reduce this fee by 50%
If you have any further questions, please contact us and we will be happy to help.